Skip Menu
Continue
  • Formerly: Harbor East Dental
    1001 Fleet Street,
  • Suite R,
  • Baltimore, MD 21202
  • Home
  • About Us
    • New Patients
    • New Patient Special
    • Smile Gallery
    • Dental Videos
    • Testimonials
    • Video Testimonials
  • Our Office
  • Our Doctors
    • Dana Truesdale, DDS
    • Helina Mesfun, DDS
  • Insurance
  • Services
      • Botox®
      • Cosmetic Dentistry
      • Crowns & Caps
      • Dental Bridges
      • Dental Cleanings
      • Dental Fillings
      • Dentures
      • Extractions
      • Implant Dentistry
      • Orthodontics
      • Night Guards - TMJ Therapy
      • Occlusal Splint Therapy
      • Oral Exams
      • Pediatric Dentistry
      • Preventive Program
      • Root Canals
      • Teeth Whitening
      • Veneers
      • Vivos® Sleep Appliances
    • View All
  • Dental Health
  • Contact
    • Contact Us
    • Request Appointment

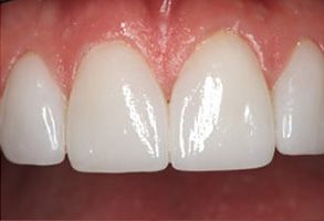
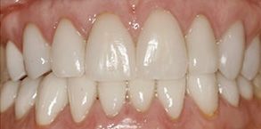
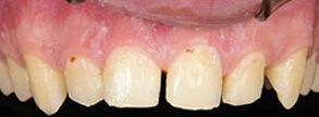
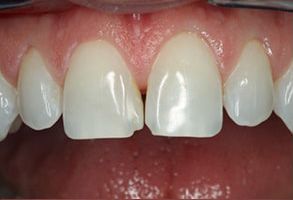
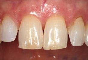
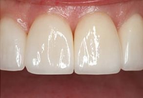
Smile Gallery

Additional Information

Our Location

Formerly: Harbor East Dental
1001 Fleet Street
Suite R
Baltimore, MD 21202
(410) 385-9966
office@harboreastdental.com

Follow Us